fbpx

Keyhole surgical treatments for complex lung cancers provide a much faster recovery compared to the conventional thoracotomy surgical approach. At Guy’s and St Thomas’ Specialist Care, patients can now benefit from single port minimally invasive VATS surgery.

Lung cancer is the third most common type of cancer in the UK. And with more than 46,000 people diagnosed with lung cancer in the UK every year, it is expected that an increasing number of patients will seek innovative and less invasive procedures to ensure a faster recovery time and a lower risk of complications.

Keyhole surgery requires smaller incisions with less rib spreading, and this approach is known as video-assisted thoracoscopic surgery (VATS) lobectomy.

Single port approach

Compared to conventional surgical approaches, the single port VATS lung resection technique can result in patients returning home – without complications – within a week. Both single port and multiport approaches generally heal very well with smaller, neat scars.

Mr Simon Jordan, consultant thoracic surgeon, explains: “Accessing the lungs through a small incision is associated with less post-operative pain and a faster recovery process.”

Although this is a major surgery, most patients are up and about the next day and can go home after five to seven days. Most patients require long-term surveillance, typically for five years, which will include consultations and scans or x-rays.

Successful outcomes

An independent review, which examined all UK centres that perform lung cancer surgery, concluded that Royal Brompton and Harefield hospitals have the highest proportion of lung cancer surgical resection, treating the highest risk cases. The results included the single port lobectomy VATS approach, as well as multiple VATS and thoracotomy surgery.

Despite treating such high-risk cases, the two hospitals have achieved the best outcomes by far in the UK, both postoperatively and one year later.

Early detection of lung cancer

Lung health screenings are widely available and can allow for diagnosis of cancers at an early stage, when they are most treatable, and surgery has a chance to be more curative.

Most people are aware there is an association between smoking and lung cancer, and anyone who has smoked for a long period of time will at some stage worry about lung diseases, particularly lung cancer.

Mr Jordan comments: “Symptoms are notoriously vague. If anything, symptoms such as fatigue and coughing are predictors only of late cancers. People who smoke increase the risks of developing lung cancer. However, the development of lung cancer is not exclusive to smoking.”

The earlier that lung cancer is detected, the greater the chances of successful treatment. Currently, more than two-thirds of lung cancers are diagnosed at a late stage, so survival rates for these patients are low.

Mr Jordan explains: “We hope with screening and lower dose CT scans that early stage lung cancers will be identified even before symptoms develop.”

Patient case study – a positive outcome

Mr Ali is a 66-year-old gentleman from the Middle East who was diagnosed with a cardiac condition which has been managed with regular medication. Generally, Mr Ali has always been very fit and active but liked to smoke cigarettes on a regular basis.

Then, Mr Ali noticed he was suddenly losing weight and felt increasingly fatigued. He decided to monitor these symptoms and hoped that if he rested then everything would just settle down by itself.

However, as the weeks passed Mr Ali continued to lose more weight and constantly felt tired, so his family urged him to seek medical advice. Feeling concerned and wanting to understand the cause of these symptoms, he decided to see his doctor.

The doctor ran several tests and referred Mr Ali for further investigation and diagnostic testing at Royal Brompton Hospital with Mr Simon Jordan, consultant thoracic surgeon.

Mr Ali was diagnosed with lung cancer in the left lung and Mr Jordan performed a single port VATS lobectomy to remove the cancer.

Mr Ali was discharged five days post the surgery. He explained: “I was happy that there was minimal pain after the surgery and I was able to move about with little discomfort. Now I no longer feel fatigued and only have a small scar which has healed well.”

Keyhole surgical treatments for complex lung cancers

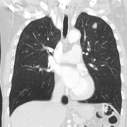
Pre-operative scan showing a tumour in Mr Ali's left lung

At a glance

Procedure

Video-assisted thoracoscopic surgery (VATS) lobectomy, using minimally invasive single port or multiport approaches.

Carried out by

Consultants at Royal Brompton Hospital:

Consultants at Harefield Hospital:

What problem does it solve?

Lung cancer is treated using a smaller length of incision compared to conventional thoracotomy.

Benefits to the patient:

  • a smaller incision with less rib spreading results in small, neat scars
  • post-operative pain is reduced, and the incisions heal very well
  • the recovery process is quicker. Most patients can return home after 5 to 7 days

Get in touch

For more information or to book an appointment, please contact our customer care team.